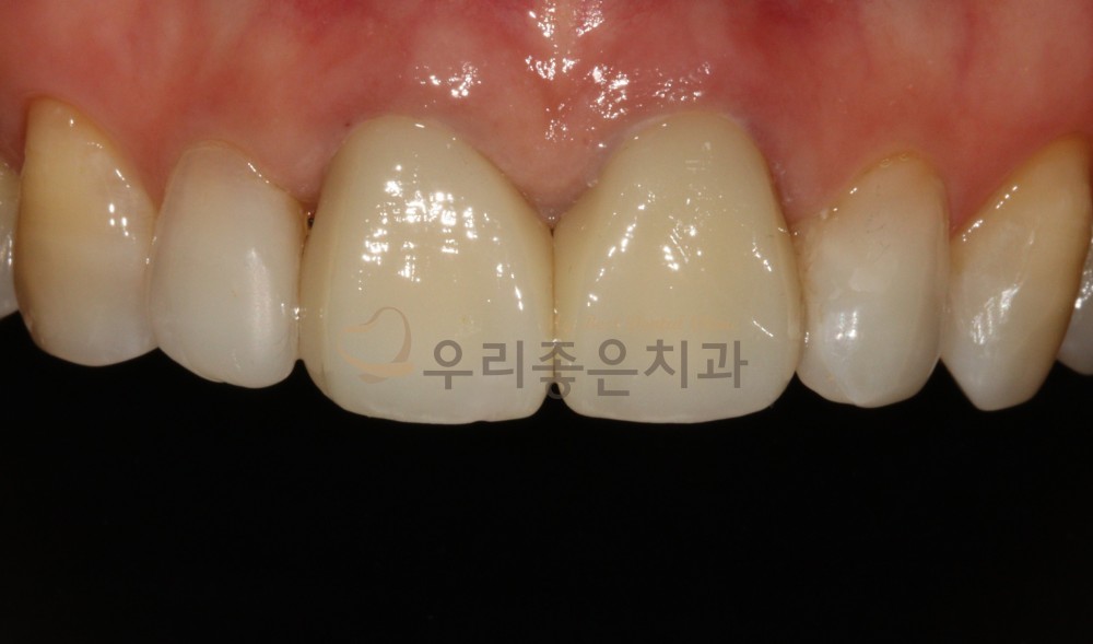
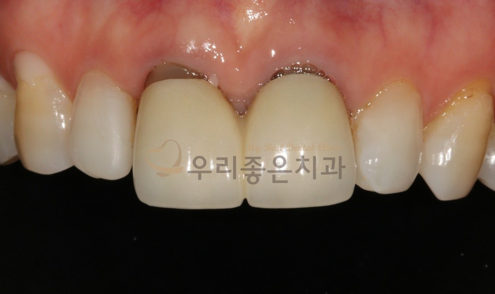
인쇄 목록 심미보철 | 우리좋은치과 앞니 재보철 치료 (유 ** 25.09.23~25.09.30) 페이지 정보 우리좋은치과 609 0 2025-09-30 15:53:04 본문 BEFORE AFTER Before After Before After 우리좋은치과 앞니 재보철 치료 인쇄 목록 이전글 ▲우리좋은치과 상악 임플란트 풀케이스 (김** 25.03.25~25.08.13) 다음글 ▼우리좋은치과 치아 상실로 인한 임플란트 보철 치료 (이** 25.05.21~25.08.06) 댓글목록 등록된 댓글이 없습니다. 이전글 다음글 목록