우리좋은 스페셜클리닉

수면클리닉

치과에 대한 공포증과 통증을 해소합니다.
자는 동안 끝나는 치과치료!

자세히보기

원데이치료클리닉

바쁜 직장인들도! 치과치료가 두려운 분들도
더 완벽하게 더 신속하게

자세히보기

임플란트클리닉

수많은 임상경험을 보유한
보철과 전문의의 임플란트 수술

자세히보기

심미보철치료

빠르고 안전하게 치아의 미적 기준을 개선하는
우리좋은 심미보철치료

자세히보기

턱관절장애클리닉

수술없이 치료되는 턱관절 통증
비수술턱관절장애 치료는 우리좋은치과에서~

자세히보기

투명교정클리닉

티나지 않게 예뻐지는 교정
교정중에도 아름다운 미소 투명교정

자세히보기

우리좋은 전후사례

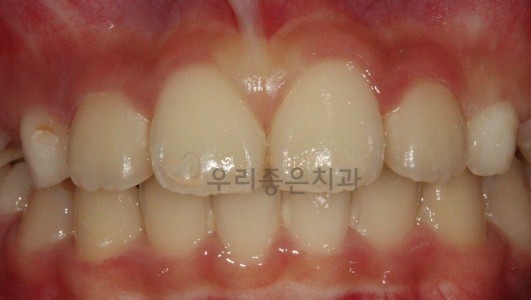
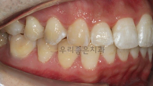
  • BEFORE
    AFTER
    우리좋은치과 상악 임플란트 풀케이스 (김** 25.03.25~25.08.13)
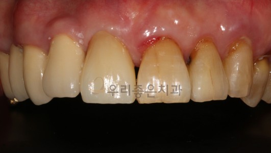
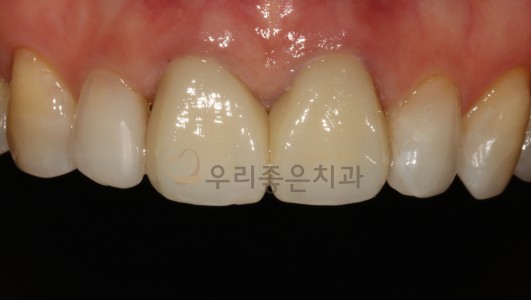
  • BEFORE
    AFTER
    우리좋은치과 치아 상실로 인한 임플란트 보철 치료 (이** 25.05.21~25.08.06)
  • BEFORE
    AFTER
    우리좋은치과 상실치로 인한 임플란트 보철 치료와 충치 인레이 보철 치료 (최** 25.02.19~25.07.02)
  • BEFORE
    AFTER
    우리좋은치과 골소실로 인해 흔들리는 치아 발치 후 임플란트 보철 치료 (한* 23.04.26~25.05.16)
  • BEFORE
    AFTER
    우리좋은치과 잔존치근과 상실치로 인한 크라운 & 임플란트 보철 치료 (25.03.25~25.04.18)
  • BEFORE
    AFTER
    [ 우리좋은치과 왜소치로 인한 라미네이트 보철 치료 (26.04.01~26.04.04) ]
  • BEFORE
    AFTER
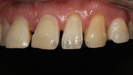
    [ 우리좋은치과 앞니 파절로 인한 크라운 보철 치료 (장** 25.10.13~25.10.17) ]
  • BEFORE
    AFTER
    [ 우리좋은치과 앞니 재보철 치료 (유 ** 25.09.23~25.09.30) ]
  • BEFORE
    AFTER
    [ 우리좋은치과 앞니 형태 이상으로 인한 심미보철 치료 (송** 24.09.24~24.10.04) ]
  • BEFORE
    AFTER
    [ 우리좋은치과 깨지고 다발성 우식으로 인한 크라운 보철 치료 (조** 24.07.30~24.08.09) ]
  • BEFORE
    AFTER
    [ 우리좋은치과 결손치 임플란트 사랑니발치 ]
  • BEFORE
    AFTER
    [ 우리좋은치과 저통증 사랑니발치 ]
  • BEFORE
    AFTER
    [ 우리좋은치과 저통증 사랑니발치 ]
  • BEFORE
    AFTER
    [ 우리좋은치과 저통증 사랑니발치 ]
  • BEFORE
    AFTER
    [ 우리좋은치과 파절로 인한 크라운 보철 치료 (26.03.17~26.03.20) ]
  • BEFORE
    AFTER
    [ 우리좋은치과 사이충치와 이차충치로 인한 크라운 보철 치료 (26.03.06~26.03.16) ]
  • BEFORE
    AFTER
    [ 우리좋은치과 사이충치로 인한 인레이 보철 치료 (김** 26.02.03 당일치료) ]
  • BEFORE
    AFTER
    [ 우리좋은치과 인레이 보철치료 & 심한 충치로 인한 신경치료 후 크라운 보철치료 (조** 25.12.03~25.12.10) ]
  • BEFORE
    AFTER
    [ 우리좋은치과 사이충치로 인한 인레이 보철 치료 (이** 25.11.01 당일치료) ]
  • BEFORE
    AFTER
    [ 우리좋은치과 인비절라인 교정 전후 (최** 25.02.03~26.02.03) ]
  • BEFORE
    AFTER
    [ 성장기 인비절라인 교정 전후 (김** 25.0218~26.02.24) ]
  • BEFORE
    AFTER
    [ 벌어진 앞니로 인한 레진 치료 (김** 26.02.11 당일치료) ]
  • BEFORE
    AFTER
    [ 우리좋은치과 벌어진 앞니 레진 치료 (서** 25.07.23 당일치료) ]
  • BEFORE
    AFTER
    [ 우리좋은치과 착색으로 인한 스케일링 전후 사진 (배** 25.04.015 당일치료) ]
  • 임플란트
  • 심미보철
  • 사랑니발치
  • 충치치료
  • 기타
진료시간 카톡 블로그 치료후기
TEL : 031-383-5552