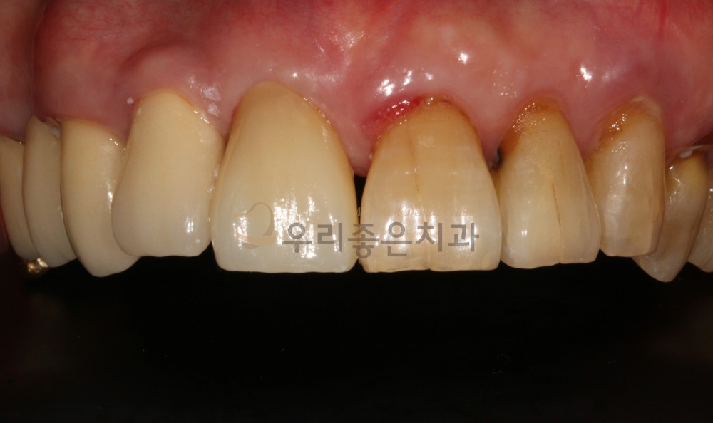
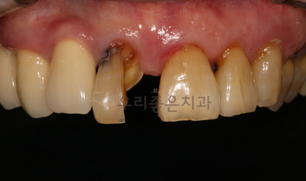
인쇄 목록 심미보철 | 우리좋은치과 앞니 파절로 인한 크라운 보철 치료 (장** 25.10.13~25.10.17) 페이지 정보 우리좋은치과 466 0 2025-12-05 10:48:04 본문 BEFORE AFTER Before After Before After 우리좋은치과 앞니 파절로 인한 크라운 보철 치료 인쇄 목록 이전글 ▲우리좋은치과 인레이 보철치료 & 심한 충치로 인한 신경치료 후 크라운 보철치료 (조** 25.12.03~25.12.10) 다음글 ▼우리좋은치과 사이충치로 인한 인레이 보철 치료 (이** 25.11.01 당일치료) 댓글목록 등록된 댓글이 없습니다. 이전글 다음글 목록