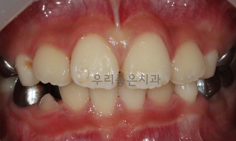
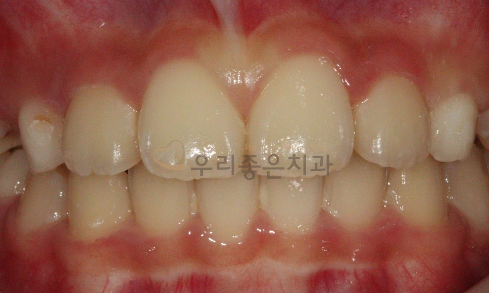
인쇄 목록 기타 | 성장기 인비절라인 교정 전후 (김** 25.0218~26.02.24) 페이지 정보 우리좋은치과 72 0 2026-03-06 12:14:01 본문 BEFORE AFTER Before After Before After 성장기 인비절라인 교정 전후 인쇄 목록 이전글 ▲우리좋은치과 인비절라인 교정 전후 (최** 25.02.03~26.02.03) 다음글 ▼벌어진 앞니로 인한 레진 치료 (김** 26.02.11 당일치료) 댓글목록 등록된 댓글이 없습니다. 이전글 다음글 검색 목록