로그인
I
회원가입
우리좋은치과
우리좋은치과
원데이치료
원데이치료
의식하진정요법
의식하진정요법
심미치료
심미치료
임플란트
임플란트
투명교정
투명교정
턱관절 장애
턱관절 장애
일반진료
일반진료
상담&커뮤니티
상담&커뮤니티
인사말
의료진소개
진료시간
오시는길
병원둘러보기
인사말
의료진소개
진료시간
오시는길
병원둘러보기
원데이치료
원데이치료
우리좋은 의식하진정요법
우리좋은 의식하진정요법
우리좋은 심미치료
라미네이트
올세라믹
치아미백
잇몸성형
앞니재치료
교정후 아쉬움
우리좋은 심미치료
라미네이트
올세라믹
치아미백
잇몸성형
앞니재치료
교정후 아쉬움
우리좋은 임플란트
임플란트 종류
임플란트 지지틀니
임플란트 재보철
우리좋은 임플란트
임플란트 종류
임플란트 지지틀니
임플란트 재보철
인비절라인(성인)
인비절라인틴(청소년)
인비절라인퍼스트(소아)
인비절라인(성인)
인비절라인틴(청소년)
인비절라인퍼스트(소아)
턱관절장애
턱관절치료방법
이갈이 방지장치
턱관절장애
턱관절치료방법
이갈이 방지장치
사랑니발치
충치치료
잇몸치료
시린이치료
틀니
사랑니발치
충치치료
잇몸치료
시린이치료
틀니
온라인상담&예약
카톡상담
치료전후사진
온라인상담&예약
카톡상담
치료전후사진
치료전후사진
전체
임플란트
심미보철
사랑니발치
충치치료
기타
Total 245건
6 페이지
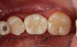
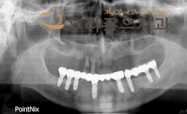
우리좋은치과 치아 상실 및 골소실 → 뼈이식 및 임플란트 보철 치료 (노** 22...
No.195
임플란트
2022-12-06
1625
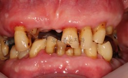
우리좋은치과 치주질환으로 인한 골소실 → 임플란트 보철 치료 (윤** 22.06.2..
No.194
임플란트
2022-11-01
1674
우리좋은치과 치주질환으로 인한 골소실 → 앞니 임플란트 보철 치료 (박** 22.0..
No.193
임플란트
2022-11-01
1650
우리좋은치과 치아 상실로 인한 임플란트 식립 및 전반적인 보철 치료 (권** 22...
No.192
임플란트
2022-11-01
1661
우리좋은치과 치아 상실 및 골소실 → 뼈이식 및 임플란트 보철 치료 (상악 full..
No.191
임플란트
2022-10-12
1675
우리좋은치과 치아 상실로 인한 임플란트 보철 치료 (이** 22.05.20~22.1..
No.190
임플란트
2022-10-10
1639
우리좋은치과 앞니 치아 상실로 인한 임플란트 식립 (조** 22.04.23~ 22...
No.189
임플란트
2022-09-03
1636
우리좋은치과 치아 상실로 인한 임플란트 보철 치료 (김** 22.03.05~22.0..
No.188
임플란트
2022-07-06
1678
우리좋은치과 깨진 치아 발치 및 임플란트 식립 (차** 22.01.12~22.06..
No.187
임플란트
2022-07-05
1678
우리좋은치과 치주질환으로 인한 골소실 → 임플란트 보철 치료 (문** 22.02.1..
No.186
임플란트
2022-06-18
1612
목록
처음
1
페이지
2
페이지
3
페이지
4
페이지
5
페이지
열린
6
페이지
7
페이지
8
페이지
9
페이지
10
페이지
다음
맨끝
게시물 검색
검색대상
제목
내용
제목+내용
회원아이디
회원아이디(코)
글쓴이
글쓴이(코)
검색어
필수
검색
* 모든 치과시술은 개개인의 구강상태에 따라 크고 작은 부작용이 발생할 수 있습니다.
우리좋은치과의
세가지 약속!
경기도 안양시 동안구 비산동 1108-1. 동안프라자빌딩 407호
TEL : 031-383-5552
FAX : 031-382-2555
의료기관명칭 : 우리좋은치과의원
대표자명 : 김송태
사업자등록번호 : 138-12-77530
COPYRIGHTS 2015 BY WOORIDENTAL. ALL RIGHTS RESERVED.
개인정보 취급방침
홈페이지 이용약관
전후사진
카톡상담
오시는길