로그인
I
회원가입
우리좋은치과
우리좋은치과
원데이치료
원데이치료
의식하진정요법
의식하진정요법
심미치료
심미치료
임플란트
임플란트
투명교정
투명교정
턱관절 장애
턱관절 장애
일반진료
일반진료
상담&커뮤니티
상담&커뮤니티
인사말
의료진소개
진료시간
오시는길
병원둘러보기
인사말
의료진소개
진료시간
오시는길
병원둘러보기
원데이치료
원데이치료
우리좋은 의식하진정요법
우리좋은 의식하진정요법
우리좋은 심미치료
라미네이트
올세라믹
치아미백
잇몸성형
앞니재치료
교정후 아쉬움
우리좋은 심미치료
라미네이트
올세라믹
치아미백
잇몸성형
앞니재치료
교정후 아쉬움
우리좋은 임플란트
임플란트 종류
임플란트 지지틀니
임플란트 재보철
우리좋은 임플란트
임플란트 종류
임플란트 지지틀니
임플란트 재보철
인비절라인(성인)
인비절라인틴(청소년)
인비절라인퍼스트(소아)
인비절라인(성인)
인비절라인틴(청소년)
인비절라인퍼스트(소아)
턱관절장애
턱관절치료방법
이갈이 방지장치
턱관절장애
턱관절치료방법
이갈이 방지장치
사랑니발치
충치치료
잇몸치료
시린이치료
틀니
사랑니발치
충치치료
잇몸치료
시린이치료
틀니
온라인상담&예약
카톡상담
치료전후사진
온라인상담&예약
카톡상담
치료전후사진
치료전후사진
전체
임플란트
심미보철
사랑니발치
충치치료
기타
Total 653건
55 페이지
우리좋은치과 파절치아의 심미 크라운치료
No.113
심미보철
2015-11-06
1268
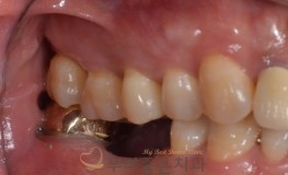
우리좋은치과 상실치아의 임플란트 치료
No.112
임플란트
2015-11-06
1267
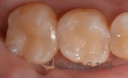
우리좋은치과 충치치아의 인레이치료
No.111
충치치료
2015-10-30
1173
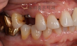
우리좋은치과 충치치아의 크라운 및 인레이치료
No.110
충치치료
2015-10-30
1160
우리좋은치과 파절치아의 심미 크라운치료
No.109
심미보철
2015-10-13
1252
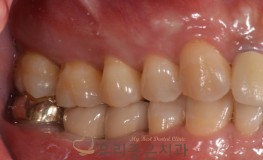
우리좋은치과 상실치아부위의 임플란트 치료
No.108
임플란트
2015-10-13
1281
우리좋은치과 충치치아의 크라운 치료
No.107
충치치료
2015-09-16
1155
우리좋은치과 상실치아의 임플란트 치료
No.106
임플란트
2015-09-14
1297
우리좋은치과 치아 사이 벌어진 공간의 레진치료
No.105
심미보철
2015-09-14
1251
우리좋은치과 충치치아의 크라운 치료
No.104
충치치료
2015-09-14
1199
처음
이전
51
페이지
52
페이지
53
페이지
54
페이지
열린
55
페이지
56
페이지
57
페이지
58
페이지
59
페이지
60
페이지
다음
맨끝
게시물 검색
검색대상
제목
내용
제목+내용
회원아이디
회원아이디(코)
글쓴이
글쓴이(코)
검색어
필수
검색
* 모든 치과시술은 개개인의 구강상태에 따라 크고 작은 부작용이 발생할 수 있습니다.
우리좋은치과의
세가지 약속!
경기도 안양시 동안구 비산동 1108-1. 동안프라자빌딩 407호
TEL : 031-383-5552
FAX : 031-382-2555
의료기관명칭 : 우리좋은치과의원
대표자명 : 김송태
사업자등록번호 : 138-12-77530
COPYRIGHTS 2015 BY WOORIDENTAL. ALL RIGHTS RESERVED.
개인정보 취급방침
홈페이지 이용약관
전후사진
카톡상담
오시는길