로그인
I
회원가입
우리좋은치과
우리좋은치과
원데이치료
원데이치료
의식하진정요법
의식하진정요법
심미치료
심미치료
임플란트
임플란트
투명교정
투명교정
턱관절 장애
턱관절 장애
일반진료
일반진료
상담&커뮤니티
상담&커뮤니티
인사말
의료진소개
진료시간
오시는길
병원둘러보기
인사말
의료진소개
진료시간
오시는길
병원둘러보기
원데이치료
원데이치료
우리좋은 의식하진정요법
우리좋은 의식하진정요법
우리좋은 심미치료
라미네이트
올세라믹
치아미백
잇몸성형
앞니재치료
교정후 아쉬움
우리좋은 심미치료
라미네이트
올세라믹
치아미백
잇몸성형
앞니재치료
교정후 아쉬움
우리좋은 임플란트
임플란트 종류
임플란트 지지틀니
임플란트 재보철
우리좋은 임플란트
임플란트 종류
임플란트 지지틀니
임플란트 재보철
인비절라인(성인)
인비절라인틴(청소년)
인비절라인퍼스트(소아)
인비절라인(성인)
인비절라인틴(청소년)
인비절라인퍼스트(소아)
턱관절장애
턱관절치료방법
이갈이 방지장치
턱관절장애
턱관절치료방법
이갈이 방지장치
사랑니발치
충치치료
잇몸치료
시린이치료
틀니
사랑니발치
충치치료
잇몸치료
시린이치료
틀니
온라인상담&예약
카톡상담
치료전후사진
온라인상담&예약
카톡상담
치료전후사진
치료전후사진
전체
임플란트
심미보철
사랑니발치
충치치료
기타
Total 653건
57 페이지
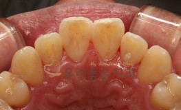
우리좋은치과 좌측 송곳니(왜소치) 심미 라미네이트 치료
No.93
심미보철
2015-06-10
1367
우리좋은치과 우측 송곳니(왜소치) 심미 라미네이트 치료
No.92
심미보철
2015-06-10
1448
우리좋은치과 결손치 임플란트 사랑니발치
No.91
사랑니발치
2015-06-10
1593
우리좋은치과 충치로 인한 파절치아 발치 후 임플란트
No.90
임플란트
2015-06-10
1452
우리좋은치과 결손치 임플란트
No.89
임플란트
2015-04-22
1425
우리좋은치과 앞니 충치 심미레진치료
No.88
충치치료
2015-04-22
1301
우리좋은치과 노후보철 잇몸치아변색 실활치 미백 후 심미보철치료
No.87
기타
2015-04-22
1267
우리좋은치과 배열이 좋지 않은 치아의 심미보철치료
No.86
심미보철
2015-04-22
1390
우리좋은치과 타 치과 치료했던 기존 보철물의 절단면 파절로 앞니 보철
No.85
심미보철
2015-04-22
1405
우리좋은치과 결손치 임플란트
No.84
임플란트
2015-04-22
1503
처음
이전
51
페이지
52
페이지
53
페이지
54
페이지
55
페이지
56
페이지
열린
57
페이지
58
페이지
59
페이지
60
페이지
다음
맨끝
게시물 검색
검색대상
제목
내용
제목+내용
회원아이디
회원아이디(코)
글쓴이
글쓴이(코)
검색어
필수
검색
* 모든 치과시술은 개개인의 구강상태에 따라 크고 작은 부작용이 발생할 수 있습니다.
우리좋은치과의
세가지 약속!
경기도 안양시 동안구 비산동 1108-1. 동안프라자빌딩 407호
TEL : 031-383-5552
FAX : 031-382-2555
의료기관명칭 : 우리좋은치과의원
대표자명 : 김송태
사업자등록번호 : 138-12-77530
COPYRIGHTS 2015 BY WOORIDENTAL. ALL RIGHTS RESERVED.
개인정보 취급방침
홈페이지 이용약관
전후사진
카톡상담
오시는길